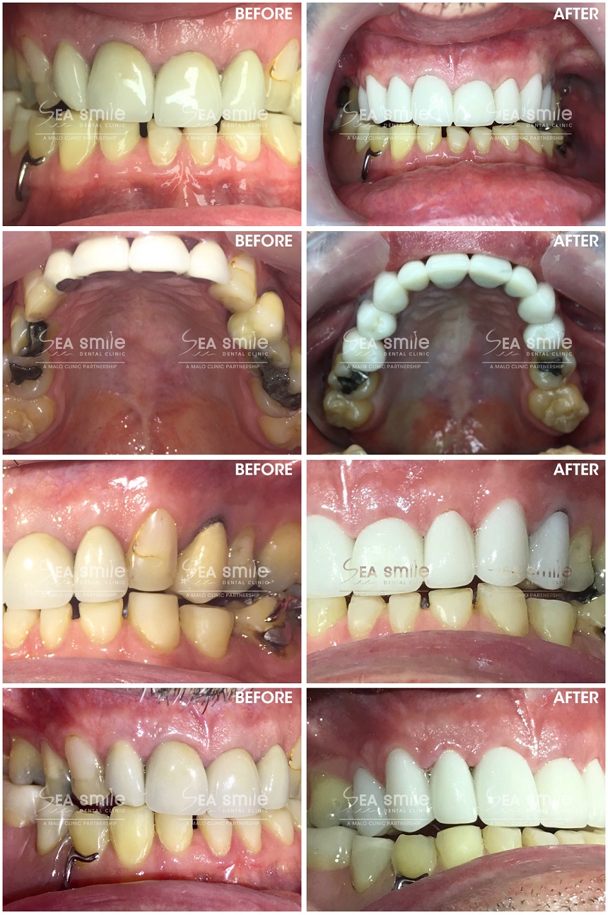
Case Gallery - Dental Crowns & Bridges

Treatment : Crowns, Bridges
Dentist: Dr. Thitima (Prosthodontics)
Cost: THB 136,000.00
Duration: 5 visits 10 days
Country: Australia

Treatment : Crowns
Dentist: Dr. Thitima (Prosthodontics)
Cost: THB 187,000.00
Duration: 4 visits 10 days
Country: Australia

Treatment : Crowns, Cleaning
Dentist: Dr. Benjamas(Prosthodontics)
Cost: THB 140,000.00
Duration: 4 visits 9 days
Country: New Zealand

Treatment : Crowns, Bridges
Dentist: Dr. Thitima (Prosthodontics)
Cost: THB 680,000.00
Duration: 5 visits 7 days
Country: Australia

Treatment : Crowns, Bridges
Dentist: Dr. Benjamas (Prosthodontics)
Cost: THB 43,000.00
Duration: 5 visits 10 days
Country: Australia

Treatment : Crowns, Laser Teeth Whitening
Dentist: Dr. Thitima (Prosthodontics)
Cost: THB 96,000.00
Duration: 5 visits 8 days
Country: Australia

Treatment : Crowns, Bridges, Cleaning
Dentist: Dr. Thitima (Prosthodontics)
Cost: THB 148,000.00
Duration: 4 visits 7 days
Country: Australia

Treatment : Crowns
Dentist: Dr. Thitima (Prosthodontics)
Cost: THB 78,000.00
Duration: 4 visits 9 days
Country: Australia

Treatment: Filling
Dentist: Dr. Pichapa (GP)
Cost: THB 4,050.00
Duration: 2 visits
Country: Australia

Treatment: Dental Crowns, Filling
Dentist: Dr. Udsana (Prosthodontics)
Cost: THB 340,000.00
Duration: 3 visits, Duration 7 days
Country: Australia

Treatment: Dental Crowns, Zoom Teeth Whitenning
Dentist: Dr. Thitima (Prosthodontics)
Cost: THB 31,200.00
Duration: 3 visits, Duration 7 days
Country: Australia

Treatment: Dental Crowns, Zoom Teeth Whitenning
Dentist: Dr. Thitima (Prosthodontics)
Cost: THB 80,000.00
Duration: 3 visits, Duration 7 days
Country: Australia

Treatment: Dental Crowns
Dentist: Dr. Thitima (Prosthodontics)
Cost: THB 35,000.00
Duration: 2 visits, Duration 4 days
Country: Australia

Treatment: Dental Implant, Dental Crowns
Dentist: Dr. Thitima (Prosthodontics)
Cost: THB 75,000.00
Duration: 3 visits, Duration 7 days
Country: New Zealand

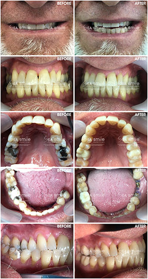
Treatment: Crowns, Root canal Tx., Veneer
Dentist: Dr. Udsana (Prosthodontics)
Cost: THB 160,500.00
Duration: 4 visits, Duration 7 days
Country: Australia

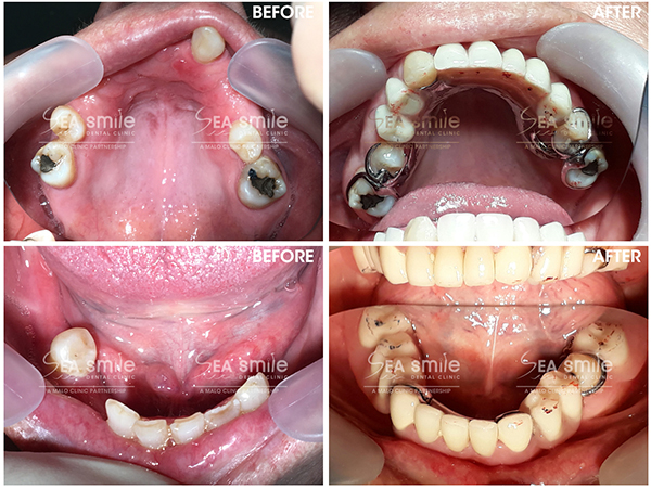
Treatment: ALL ON 4, Dental Bridge
Dentist: Dr. Udsana (Prosthodontics)
Cost: THB 345,000.00
Duration: 4 visits, Duration 8 days
Country: Australia

Treatment: Denture, Dental Bridge
Dentist: Dr. Udsana (Prosthodontics)
Cost: THB 160,000.00
Duration:
Country: Australia

Treatment: Dental Crowns
Dentist: Dr. Thitima (Prosthodontics)
Cost: THB 98,500.00
Duration: 3 visits, Duration 7 days
Country: Australia

Treatment: Dental Crowns
Dentist: Dr. Thitima (Prosthodontics)
Cost: THB 47,500.00
Duration:
Country: Australia

Treatment: Crown&Bridge, Dental Implant, Extraction, Root canal Tx., Root planing/ Deep cleaning, X-Ray, Zoom Whitening
Dentist: Dr. Thitima (Prosthodontics)
Cost: THB 118,000.00
Duration: 4 visits, Duration 7 days
Country: U.S.A.

Treatment: Crowns, Filling, Porcelain Veneer, Root planing/ Deep cleaning
Dentist: Dr. Saranya (Prosthodontic)
Cost: THB 210,950.00
Duration: 5 visits, Duration 10 days
Country: Australia

Treatment: Bridges, Crowns, Filling, LaserWhitening
Dentist: Dr. Thitima (Prosthodontics)
Cost: THB 148,000.00
Duration: 5 visits, Duration 7days
Country: Australia

Treatment: Dental Crowns, Extraction, Porcelain Veneer
Dentist: Dr. Benjamas (Prosthodontics)
Cost: THB 155,250.00
Duration: 3 visits, Duration 5 days
Country: Australia

Treatment: Bridges, repair
Dentist: Dr. Thitima (Prosthodontics)
Cost: THB 132,000.00
Duration: 3 visits, Duration 5 days
Country: New Zealand

Treatment: Cleaning, Filling, Laser whitening(7500), Porcelain Veneers
Dentist: Dr. Thitima (Prosthodontics)
Cost: THB 80,000.00
Duration: 3 visits, Duration 5 days
Country: Australia

Treatment: Dental Crowns, Denture
Dentist: Dr. Thitima (Prosthodontics)
Cost: THB 80,900.00
Duration:
Country: Australia

Treatment: Dental Crowns, Filling
Dentist: Dr. Thitima (Prosthodontics)
Cost: THB 109,400.00
Duration: 4 visits, Duration 7 days
Country: Australia

Treatment: Dental Crowns, Extraction, Filling, Gum treatment
Dentist: Dr. Thitima (Prosthodontics)
Cost: THB 260,000.00
Duration: 5 visits, Duration 10 days
Country: Australia

Treatment: Dental Crowns
Dentist: Dr. Thitima (Prosthodontics)
Cost: THB 230,000.00
Duration:
Country: France

Treatment: Dental Crowns, Laser Teeth Whitening, Porcelain Veneers
Dentist: Dr. Saranya (Prosthodontics)
Cost: THB 94,250.00
Duration: 3 visits, Duration 7 days
Country: Australia

Treatment: Dental Crowns, Filling
Dentist: Dr. Benjamas (Prosthodontics)
Cost: THB 170,000.00
Duration: 4 visits, Duration 7 days
Country: Australia

Treatment: Bridges, Crowns, Laser Teeth Whitening
Dentist: Dr. Thitima (Prosthodontics)
Cost: THB 180,000.00
Duration: 4 visits, Duration 7 days
Country: Australia

Treatment: Cleaning, Dental Implant, Dental Crowns
Dentist: Dr. Benjamas (Prosthodontics)
Cost: THB 270,000.00
Duration: 5 visits, Duration 7 days
Country: U.S.A.

Treatment: Dental Crowns
Dentist: Dr. Thitima (Prosthodontics)
Cost: THB 59,000.00
Duration: 4 visits, Duration 7 days
Country: Australia

Treatment: Dental Crowns
Dentist: Dr. Udsana (Prosthodontics)
Cost: THB 162,000.00
Duration: 3 visits 1 week
Country: Canada

Treatment: Dental Crowns
Dentist: Dr. Udsana (Prosthodontics)
Cost: THB 160,000.00
Duration: 3 visits 1 week
Country: Australia

Treatment: Dental Crowns
Dentist: Dr. Benjamas (Prosthodontics)
Cost: THB 30,000.00
Duration: 3 visits 10 days
Country: Australia

Treatment: Cleaning, Crowns
Dentist: Dr. Vissavet (GP/Oper)
Cost: THB 85,000.00
Duration: 3 visits 1 week
Country: Australia

Treatment: Cleaning, Crowns, Porcelain Veneer
Dentist: Dr. Vissavet (GP/Oper)
Cost: THB 53,000.00
Duration: 4 visits 10 days
Country: Australia

Treatment: Dental Denture (s), Extraction
Dentist: Dr. Benjamas (Prosthodontics)
Cost: THB 30,500.00
Duration: 3 visits 1 week
Country: Australia

Treatment: Dental Crowns
Dentist: Dr. Udsana(Prosthodontics)
Cost: THB 150,000.00
Duration: 3 visits 10 days
Country: Australia

Treatment: Denture, Dental Crowns
Dentist: Dr. Udsana (Prosthodontics)
Cost: THB 83,000.00
Duration: 3 visits 1 week
Country: Australia

Treatment: Bridges
Dentist: Dr. Thitima (Prosthodontics)
Cost: THB 40,500.00
Duration: 3 visits
Country: New Zealand

Treatment: Dental Crowns
Dentist: Dr. Vissavet (GP/Oper)
Cost: THB 85,000.00
Duration: 4 visits 7 days
Country: Australia

Treatment: Dental Crowns
Dentist: Dr. Udsana (Prosthodontics)
Cost: THB 167,300.00
Duration: 4 visits 10 days
Country: Australia

Treatment: Dental Crowns
Dentist: Dr. Vissavet (GP/Oper)
Cost: THB 30,000.00
Duration: 3 visit 5 days
Country: Australia

Treatment: Bridges
Dentist: Dr. Thitima(Prosthodontics)
Duration: 3 visits
Country: New Zealand

Treatment: Denture, Dental Crowns
Dentist: Dr. Udsana (Prosthodontics)
Duration: 3 visits 1 week
Country: Australia

Treatment: Crowns
Dentist: Dr. Udsana(Prosthodontics)
Duration: 3 visits 10 days
Country: Australia

Treatment: Denture (s), Extraction
Dentist: Dr. Benjamas (Prosthodontics)
Duration: 3 visits 1 week
Country: Australia

Treatment: Cleaning, Crowns, Porcelain Veneer
Dentist: Dr. Vissavet (GP/Oper)
Duration: 4 visits 10 days
Country: Australia

Treatment: Cleaning, Crowns
Dentist: Dr. Vissavet (GP/Oper)
Duration: 3 visits 1 week
Country: Australia

.

Treatment: Dental Crowns.
Dentist:Dr. Benjamas (Prosthodontics)
Duration: 3 visits 10 days
Country: Australia

Treatment: Dental Crowns.
Dentist:Dr. Udsana(Prosthodontics)
Duration: 3 visits 1 week
Country: Australia

Treatment: Dental Crowns.
Dentist:Dr. Udsana(Prosthodontics)
Duration: 3 visits 1 week
Country: Canada

Treatment: Crowns, Filling
Dentist: Dr. Udsana (Prosthodontics)
Duration: 3 visits 7 days
Country: Australia

Treatment: Filling
Dentist: Dr. Pichapa (GP)
Duration: 2 visits
Country: Australia

  • Case : Crowns, Porcelain Veneer
  • Treatment: Porcelain Veneer, Crowns
  • Dentist: Dr. Thitima
  • Australia
  • Duration: 5 visits in 1 week
  • “Thank you for your wonderful friendly service and especially to Dr. Thitima and her assistants for the brilliant work completed on my teeth. I am extremely happy with what I had done and receive compliments almost every day on how good they look”.
  • Case : Crowns, Briges and Dentures
  • Treatment: Porcelain Veneer, Crowns
  • Dentist: Dr. Udsana
  • Case : Dental Crowns and Veneers on 8 upper front teeth
  • Dentist: Dr. Udsana
  • “I am very please with the outcome and was very impressed by the whole experience and will recommend your clinic to all my friends and work colleagues.”.
  • Case : Crown / Bridge
  • Dentist: Dr. Udsana
  • Australia
  • Case : Crown / Bridge
Treatments: Crowns
Dr.: Vissavet(GP/Oper)
Visits: 2 visits 1 week
Country: New Zealand
Treatments : Cleaning, Crowns
Dr.: Udsana(Prosthodontics)
Visits: 3visits 1 week
Country : Australia
Treatments : Crowns
Dr.: Udsana(Prosthodontics
Visits: 4 visits
Country : Australia
treatment: Crowns
Dr.: Udsana(Prosthodontics)
Visits: 5 visits 2 weeks
Treatments : Cleaning, Bridges, Crowns, Filling, Dental Implant, Soft/ Hard (night) guard, Root canal Tx.,
Dr.: Udsana(Prosthodontics)
Visits: 5 visits 15 days
Country: Australia
Treatments : Bridges, Crowns, Filling, Root planing/ Deep cleaning, X-Ray
Dr.: Udsana(Prosthodontics)
Visits: 5 visits 2 weeks
Country: Australia
Treatments : Crowns
Dr.: Udsana(Prosthodontics)
Visits: 4 visits 2 weeks
Country: Australia
Treatment: Crowns
Dr.: Udsana(Prosthodontics)
Visits: 4 visits 1 week
Country : Australia
Treatments : Bridges, Crowns, Dental Implant
Dr.: Udsana(Prosthodontics)
Visits: 3 visits 1 week
Country : Qatar
Treatments : Crowns, Dental Implant, Filling, Root planing/ Deep cleaning, post/core,
Dr.: Udsana(Prosthodontics)
Visits: 4 visits 1 week
Treaatment: Crowns
Dr.Tussanee(Pediatric)
Visit: 4 visits 10 days
Treatments : Crowns, Implants
Dr.: Udsana(Prosthodontics
Visits: 5 visits 10 days
Country : Australia
Name Mrs. Maureen Oates
Treatments : veneers, crowns Check up (for GP only), Cleaning
Dr.: Udsana(Prosthodontics)
Visits: 5 visits 2 weeks
Country : Australia
Treatments: Crowns, Retainer
Dr.: Vissavet(GP/Oper)
Visits: 3 Visits 1 week
Country: Australia
Treatments : Crowns
Dr.: Vissavet(GP/Oper)
Visits: 3 visits 1 week
Country: New Zealand
Treatments: Crowns
Dr.: Vissavet(GP/Oper)
Visits: 2 visits 5 days
Country: Australia
Treatments : Bridges, Cleaning, Crowns, Dental Implant, Root canal Tx., post/core
Dr.: Udsana(Prosthodontics)
Visits: 4 visits 1 week
Country : Australia
Treatments: Bridge
Dr. Udsana (Prosthodontics)
Visits 4 visits 10 days
Country : Australia
Treatments : Crowns
Dr.: Vissavet(GP/Oper)
Visits: 4 visits 1 week
Country: New Zealand